Erosionen der Zähne – ein wenig bekanntes und erkanntes Problem
Dr. Dunja Zimmermann
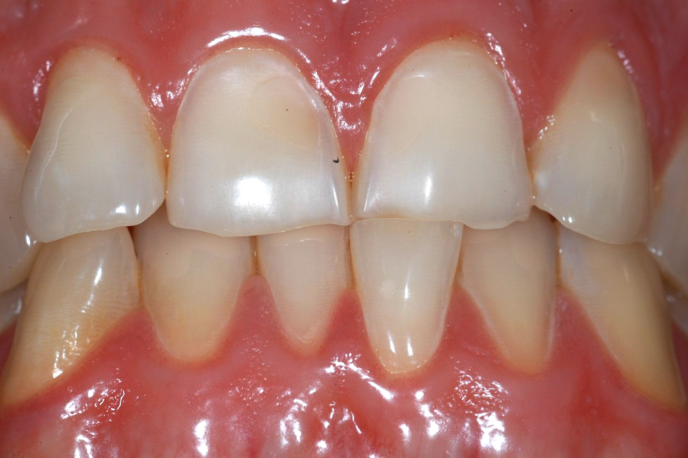
Was sind Erosionen?
Erosionen sind gekennzeichnet durch einen langsam fortschreitenden Zahnhartsubstanzverlust verursacht durch direkten Kontakt mit Säuren. Die Säuren können vom Magen her kommen (Magensäure), dann spricht man vor intrinsischen Erosionen oder aus der Nahrung (Zitronen, schwarzer Tee..) als extrinsische Erosionen.
Meistens werden sie erst spät oder gar nicht erkannt, da sie zunächst schmerzfrei ablaufen. Erst wenn der schützende Schmelz fehlt und das Dentin (Zahnbein) freiliegt, kann es zu Empfindlichkeiten oder Schmerzen kommen. Aktive Erosionen laufen ohne Beteiligung von Bakterien ab und unterscheiden sich von der Zahnkaries, dass sie zahnfarben sind und der Zahn sich flächig auflöst. Inaktive Erosionen können auch Verfärbungen aufweisen.
Was kann man gegen Erosionen tun?
Zunächst ist es wichtig, dass man erkennt, woher die Erosionen kommen. Kommen sie aus dem Magen, wie zum Beispiel bei der Refluxkrankheit oder bei Essstörungen mit aktiven Maßnahmen, wäre eine internistische oder psychologische Untersuchung in Zusammenarbeit mit dem Zahnarzt ratsam.
Bei extrinsischen Erosionen hilft zunächst ein Ernährungsprotokoll, um aufzudecken, welche Säuren wann zu sich genommen werden, denn es gibt auch versteckte Säuren, wie zum Beispiel im Ketchup.
Nur so kann man gezielt verhindern, dass die Säuren in Kontakt mit den Zähnen kommen.
Wichtig ist auch, dass man nach der Aufnahme von säurehaltigen Lebensmitteln sich nicht unmittelbar die Zähne putzt – mindestens eine Stunde sollte man damit warten. Fluoridhaltige Mundspüllösungen oder auch das Kauen von Kaugummis können helfen die Erosionen zu verlangsamen. Durch die Bildung von Speichel werden die Zähne umspült, die Säuren neutralisiert (Anhebung des pH-Wertes) und die Zähne gegen Säureangriffe gestärkt.
Therapie von Erosionen:
Sind die Erosionen schon so weit fortgeschritten und der daraus resultierende Substanzverlust schon so groß, dass er Schmerzen auslöst oder ein Höhenverlust aufgetreten ist, sollte man die Zähne konservierend mit Füllungen oder Werkstücken (Inlays, Kronen etc.) wieder aufbauen.


