Ästhetik Beratung inklusive Smile Design & Try Ins zum mitnehmen
In der Weiterführung unserer Zahntechnikersprechstunde bieten wir gerne eine rein auf ästhetische Wünsche abgestimmte Beratung an. Innerhalb weniger Tage machen wir Ihnen einen Vorschlag bzgl. der realisierbaren Ergebnisse. Dies wird anhand einer 2D Simulation visualisiert und dann auf Wunsch mit Ihnen und dem behandelnden Zahnarzt besprochen.
Mit Hilfe der digitalen Technologie sind wir in der Lage ein Try In aus zahnfarbenen Kunststoff zu fräsen, welches Sie auf Ihre vorhandenen Zähne stecken und gerne mit nach Hause nehmen können um sich mit Ihren Lieben in aller Ruhe zu beraten.
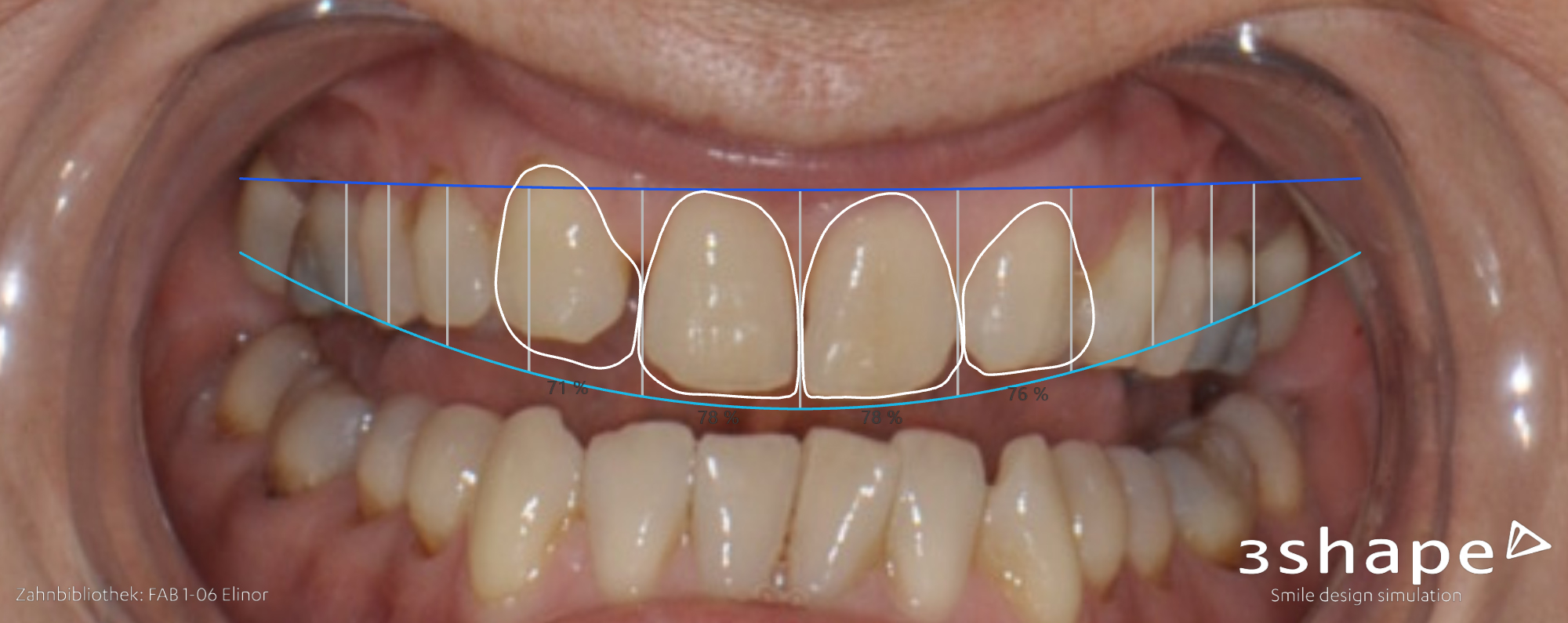
Ausgangsbild
Planung
Visualisierung
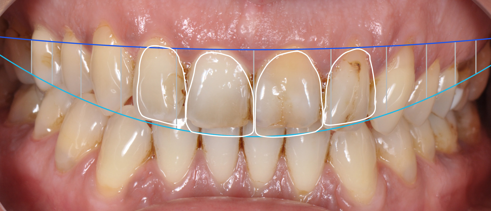
Ausgangsbild
Planung
Visualisierung
Ausgangsbild
Planung
Visualisierung
Kontakt
Lassen Sie sich von unseren Leistungen überzeugen.
Wir wollen, dass Sie sich von Anfang an bei uns wohlfühlen und uns als positives Erlebnis wahrnehmen. Schließlich liegt uns nichts mehr am Herzen, als ihre Zahngesundheit zu erhalten und zu optimieren.